IRT
Our Story

Journey Updates

Follow along as we document the milestones, challenges, and blessings of Illyana's heart journey.

55 updates from our journey

Look at what the Lord has done.

April 24, 20261

It is so amazing to see what the Lord has done with and through Illyana, she now gets to take three hours twice a day off of her ventilator, we are praising God for the miracles he has done through her.

Getting ready to go for scope

March 30, 20262

All ready to head back soon for airway scope playing all the toys I can while I wait. Getting all the compliments on how cute I am soaking that up.

Day before Illyana goes for her Scope

March 29, 20261

Illyana little body is catching up to the healing promise that Jesus gave us. Since she has gotten her trach on May 15th she has made leaps and bounds of growing and her health has improved so much. She is very mobile and she has really gotten down crawling and trying to walk. She has mastered so many skills in her therapies and is getting so very smart. She loves to sing and dance. She has a procedure to run a scope to check her airways and see how much they have strengthen since she received her trach. she had been rocking her trails off since we have been able to do them.

CHD Awareness

February 4, 20261

Illyana has made so many improvements since getting her Trach in May 2025. We are 9 months into her having it and she is able to trail off of the vent a couple times a day now. She is rocking her healing promise God ordained and her body is catching up to that promise daily.

Illyana's 1 year birthday

May 28, 20251

Illyana turned 1 year old today she is doing so much better since she got her trache, it is scary but we will overcome the hurdle just as we have the others.

05/15/2025

May 15, 20251

Today we got our Tracheotomy she is resting right now.

12/27/2024 Update

December 27, 20241

We are home as of 12/27 Illyana is doing good, when we left the hospital she didn't require oxygen now she is requiring some, having a complex child is hard there are those days crying is all you got to give, with Illyana its not just her heart it is from top to bottom, heart, lungs, kidney, as well as DiGeorge, there are some very scary days with Illyana her Nissen makes it where she cant throw up, she has spells because she is extremely gassy where she try's to throw up and can't, she is doing much better just very complex hoping to get a home health nurse soon, she requires 2 people when traveling she is a handful but very much loved, continue to pray for us as we work through this with Illyana.

12/18/2024 Update

December 18, 20241

We have been just hanging out in the hospital she couldn't tolerate her feeds going into her stomach so she will be getting a G tube tomorrow morning at 7am. She has been doing so great other wise though.

11/08/2024 Update

November 8, 20241

After over a month of not holding Illyana, this was such an amazing moment for me, it is hard not really being able to hold your child, it took this long to be able to hold her, being on the vent/BiPAP/CPAP it is extremely hard to hold her because the movement can cause leaks in the pressure, somedays she wasn't having a good day and picking her up and holding her could cause her to hurt worse, we wants what is best for Illyana.

11/02/2024 Update

November 2, 20241

Illyana the day after her 2nd open heart surgery, This girl is such a fighter, she inspires us daily to fight along side of her, this journey hasn't been easy by any means, we are truly thankful for God's strength that he has given us to overcome this journey.

11/01/2024 Update

November 1, 20241

Illyana is headed headed off to have her 2nd open heart surgery, the surgery will consist of making the RPA smaller, they will be adding a valve to her RPA, they are also pulling her RPA off of her right bronchiole, she went to surgery at 8:10 AM and did not return to her room till around 9:00 PM.

10/31/2024 Update

October 31, 20241

Good Morning sorry there hasn't been an update sooner, so there have been very little things over the past month, somedays there were no changes other days it would be small, it has been up and down we would move forward to be hit right back down somedays, so Illyana's RPA (Right Pulmonary Artery) is to big, tomorrow they will do open heart surgery on her again and reduce the size of her RPA, so what happens is when she coughs without positive pressure her right upper lobe collapses 100%, with positive pressure her right upper lobe collapses 60%-70% when she coughs, we will give an update when we know more about the surgery.

10/01/2024 Update

October 1, 20241

Illyana is got to do 2 trial runs on vapotherm for 2 hours each time, she is being weaned from various medications, we have another 2 weeks to wean her off all the medications, she loved being on her vapotherm she is able to move her head around, tomorrow she gets to have vapotherm all day during the day and cpap during the night and see how her gas panels do, she is doing so good today.

09/24/2024 Update

September 24, 20241

Illyana is doing better today, her lungs look better than they have ever looked, she is such a warrior she has made amazing strives to get healthier, they are continuing to drop her vent setting to wean her off of the vent, this morning they have paused her feeds in preparation to extubate today, we are so excited for how far she has come, we are thankful for all the prayers everyone has poured over us, we will update later on when she becomes extubated.

09/14/2024 Update

September 14, 20241

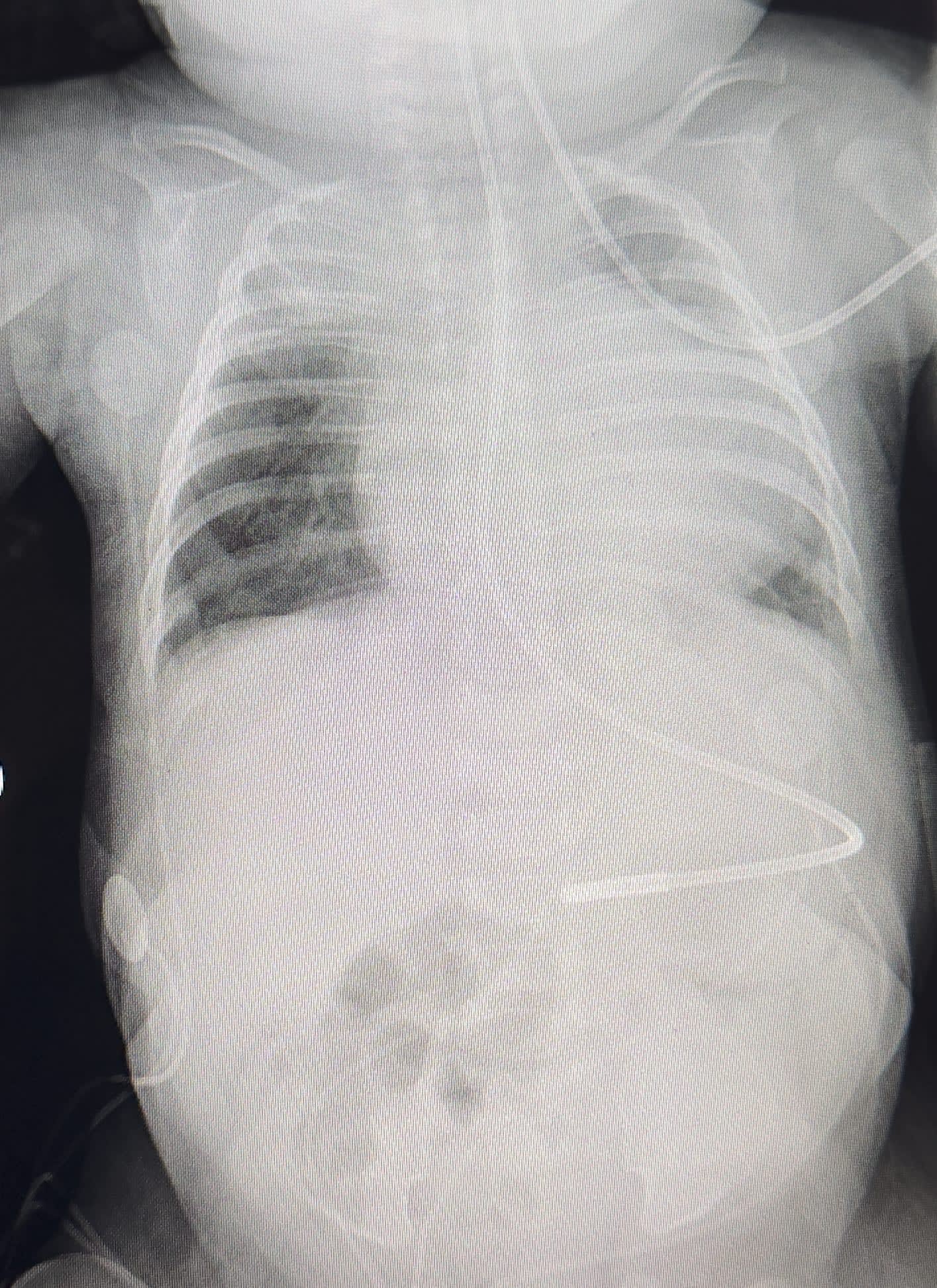
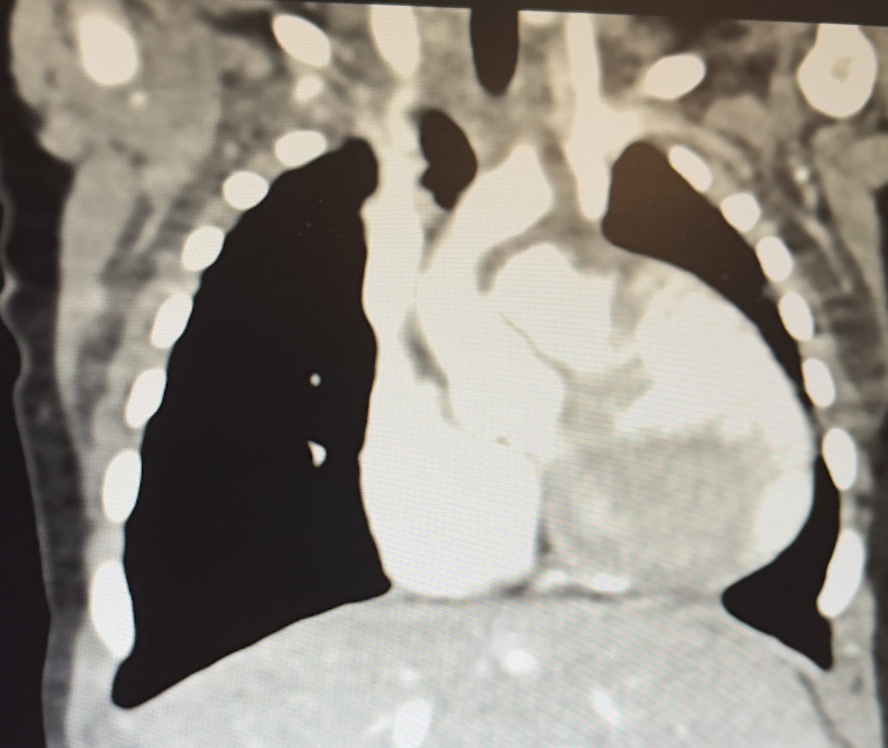
Update on Illyana, She is doing well but she is running a fever and her white blood cell is high so they sent her for a CT scan to check her chest, belly, lungs. She is still on the vent, we will know further plan of care soon.

09/08/2024 Update

September 8, 20241

Illyana is out of surgery, they removed 10 cm of her large intestine was removed, she does a colostomy bag more than likely this will be reversed, if it isn't able to we are still going to give God glory through it all. She has rested well today and conquered the nitric machine. resting through the night and we will see what tomorrow brings!!

09/07/2024 Update

September 7, 20241

Illyana is in surgery for nectrotic bowel, this is more for them to find out whats going on. she is very sick she is a fighter, we are waiting to hear from the Surgeon.

09/06/2024 Update

September 6, 20241

Illyana is coming off of the meds that was keeping her paralyzed, she is waking up and moving around a little bit, she was put on some diuretics earlier and got a lot of fluid off of her, she is our little fighter.

09/06/2024 Update

September 6, 20241

She is very swollen right now they have stopped her feeds for 5-7 days, she is stable right now they just turned her paralyzing medicine off and trying to get her off blood pressure medicines because they are low, usually she has high blood pressure, they are still monitoring closely the Venus Gas in her intestines and liver veins. They have surgeon team eyes on her in case it leads to dead bowel, if that happens she will need emergency surgery. Thank you all for the prayers. Please continue to pray for our sweet girl as she is very sick. We can’t have a sleep room at hospital due to the Covid precautions extended another 10 days and due to other families using them the spread of it to the other so very fragile patients is an issue.

09/04/2024 Update

September 4, 20242

Illyana has been paralyzed, they are needing her to stay still, she will not have her feeds for at least 5 days, Illyana has Portal venous gas in her intestines and the veins in her liver it was an accidental finding, she may have to have abdominal surgery won’t know nothing for a few days on this, they are giving her a blood transfusion as well. https://youtu.be/ReJU4ptmi0s Illyana is sedated pretty well due to her being getting agitated. They are starting a morphine drip to keep her comfortable from pain and help keep her calm while she is on the vent. Her CO2 levels are dropping but they want to keep her vented to see if they can get her little balloons that haven't been oope in her lungs to open. She getting the care has been needing. Please keep praying! God is healing her.

09/03/2014 Update

September 3, 20241

Illyana got intubated today about 2:30 this evening,her CO2 levels have improved since being on the vent. Please keep praying, pray for healing of her lungs and strength to get better and to find out what is causing this issue. Pray for the team of doctors and nurses caring for our baby girl.

08/31/2024 Update

August 31, 20242

Illyana had a better day today, she looks and feels better than she has in a long while, she is on wall oxygen after being on Vapor Therm for about 16 hours. Please continue to pray of our sweet baby girl. https://youtu.be/HCJ_ILFB0PU We took the time as a family to pray for Illyana! We also finally got answers as to why her heart rate and oxygen were dropping, blood work showed she has to much carbon dioxide in her lungs.

08/30/2024 Update

August 30, 20241

Illyana keeps having low temperatures, Oxygen is steadily increasing we came in the hospital with 250cc of oxygen, over the past week we have had to increase the oxygen to 2 LPM at times, she is having a hard time breathing.

08/27/2024 Update

August 27, 20241

Illyana spent another night in the hospital, she is on continuous feeds for right now she was originally on every 3 hours, she has been off blood pressure medication for over 24 hours still unsure what is going to with this, she is still having episodes where she is sweating and has no temperature, she has a great team of doctors and nurses we are going to overcome this.

08/27/2024 Update

August 27, 20241

Illyana is having her Hi-flow breathing treatment, she absolutely hates this one, it is helping with her not coughing as much, it helps force the medicine from the breathing treatment to get deep into her lungs, we are going to make it through this.

08/26/2024 Update

August 26, 20241

Still in Vanderbilt she still continues to have her attacks, they have stopped medication, stopped feeds twice now put her on fluids, has changed breathing treatments from 3 times a day to 4 times a day, they added in a high flow breathing treatment, please continue to pray for Illyana she has had some pretty rough days she is such a fighter.

08/23/2024 Update

August 23, 20241

We had the scariest spell today at home, Illyana had a spell where her oxygen and heart rate dropped to the low 70’s, she became pale with cold sweats soaking he clothes temperature was 94.3 degrees around noon, Back off to the ER we go we arrive 10 pm no episodes so far, we are being admitted for a 24 hour observation, off to PCARD we go get in the room around 10:30 pm not even 5 minutes of getting to the room she starts having an attack heart rate and oxygen hit down into the low 50’s.

08/21/2024 Update

August 21, 20241

Off to the ER again, Illyana is having some strange spells where her oxygen is dropping or her heart rate dropping, at times both oxygen and heart rate drops, when this happens she becomes pale and starts having cold sweats, while at the ER she didn’t really have a spell, 2:30 am we are being released and heading home.

08/13/2024 Update

August 13, 20241

Illyana is back home from the hospital, she has covid and so does Daddy, Illyana is on the downside of the covid she is on day 5, she is doing great for the most part we just got to get this cough to go away, we are just taking it easy and resting.

08/08/2024 Update

August 8, 20241

We went to the cardiologist today, we got the approval to try to wean her off her oxygen, like he said this isn't a 2 week process it's going to take months to get her off her oxygen.

08/06/2024 Update

August 6, 20241

Illyana got her first bath in her little bathtub, she absolutely loved being in the bath she smiled so much and didn't want to get out.

07/23/2024 Update

July 23, 20241

Illyana is saying Good Morning, She is ready is ready to conquer this world, she is doing well we have had a few little scares but nothing to difficult we can't we couldn't handle, the nurses at vanderbilt were amazing they took really good care of Illyana, now we have the blessed to be able to care for Illyana, Amanda has been amazing, she is honestly the most amazing Wife / Mother ever hands down, the love her heart gives is truly amazing, we are truly thankful for her daily.

07/18/2024 Update

July 18, 20241

We got Illyana's little corner setup for her arrival, We are so ready to be home and get sweet snuggles.

07/17/2024 Update

July 17, 20241

Illyana will be coming home by tomorrow, Oxygen is arriving to the hospital today between 12-2 we will have to learn how to use the equipment, then show that we know know to use the equipment, she has come so far and we are so proud of Illyana, we are thankful for the blessings of God and we want him to receive all the glory for what He has done, He is the reason we have been able to be strong and be an encouragement to anyone we have been around, we are thankful for our community that has surrounded us, you all have been amazing, this is only the begin of what God is about to unravel, Thank you all for everything. We will continue to keep this journey updated over the years.

07/12/2024 Update

July 12, 20241

Today is a harder day for us Illyana's heart rate has been on a slow incline, over the last 3 days is was in the 160s now it around 185 - 190 there have been a spike hit 210, her doctor he is amazing he is trying to find the little tweak needed for heart rate to be just right, we are also trying to wean off oxygen she has been holding on to 100cc of oxygen, she DSATs when they try to wean and they go back up on the oxygen, we are Thankful for the Vanderbilt Team, every time mommy holds Illyana her stats are great she loves her mommy.

07/11/2024 Update

July 11, 20241

Had a great day got to hook Illyana to portable oxygen and stat machine for about an hour, got to go down to the koi pond and have lunch, she passed her car seat test as well today.

07/08/2024 Update

July 8, 20241

We are off to PCARD from PCICU, finally out of icu now on to the next steps to be able to come home.

07/03/2024 Update

July 3, 20241

Sorry we haven’t really given an update on Illyana, it has been a very exhausting through this journey to say the least, so her skin color looks better than it ever has, she is being weaned off different drip meds, she has came off the breathing tube and chest tubes and went to bipap and then down to cpap, she may go to vapatherm today but the top part of her right lung collapsed, once that is fixed she will be going on vapatherm, she still has a lot of milestones to hit but look at what God is doing.

06/27/2024 Update

June 27, 20241

woke up a little bit after her surgery, she is resting a lot will post more later have been extremely exhausted with everything going on.

06/26/2024 Update

June 26, 2024

Update she will be in Surgery at 2:00PM, they will be doing the repair to connect the RPA & the LPA together with a shunt, they also said they might go ahead and do the repair for the Tetralogy of Fallot as well, they said it just depends on how the first repair goes so they are playing it by ear at the moment.

1:50 PM Illyana is heading to the 3rd floor for surgery could take 4-6 hours for the surgery, please continue to pray for us.

5:30 PM they are working on the Pulmonary artery right now.

10:30 PM Illyana is out of surgery she is extremely tired but is doing amazing.

06/25/2024 Update

June 25, 20241

Getting snuggles with mommy after her bath and getting ready for surgery tomorrow.

06/23/2024 Update

June 23, 2024

Here is a Live we did Saturday, this gives an update as well as the procedure they will be performing, it is open heart surgery but only doing repair to the Discontinuous Pulmonary Branch Atresia, then will have another open heart surgery around 6 months old. Illyana's Heart

06/14/2024 Update

June 14, 20243

Scope was done today.

06/08/2024 Update

June 8, 20242

Illyana has went back a little she is fighting hard her heart is extremely sick, she is back on the vapotherm she was doing well but her heart is making it very hard to breath, ENT are going to run a scope to her air ways Monday and make sure what they are seeing is accurate, we seen a live CT Scan and we are potentially looking at Big Surgery next week, she has also been diagnosed with DiGeorge syndrome (chromosome 22 deletion "we normally have two copies of chromosome 22 in each cell") she is missing part of the 22 chromosome.

06/03/2024 Update

June 3, 20241

Air Pressure lowered to 1, oxygen had to be increased to 25 from 21, This is amazing so close her milestone.

06/02/2024 Update

June 2, 20248

The kiddo's finally was able to hold baby sister, these are the moments we live for, We Love you Illyana.❤️

Mommy Loves, Daddy Loves, Sister Loves, Brother Loves

06/01/2024 Update

June 1, 20241

Air Pressure lowered to 3 AMAZING!

05/30 Update

May 30, 20247

Big Brother, Big Sister, Cousin Autumn, Nana, and Papa came to see Illyana tonight. Isiah was the sweetest and held my hand the whole walk from my room to the NICU to see baby sister. These babies are in love with baby sister and they are ready for her journey of healing to be done so they can teach her all the fun things big kids get to do. It made my Mama heart happy to see them all together and how they interacted with her they did amazing which I knew they would. Helping Mommy Helping Mommy Praying over Illyana Loving on Baby Sister Proud Big Brother Proud Big Sister We spoke with the Cardiologist this evening, So originally we found out she had TOF/APV that stayed the same but now Discontinuous Pulmonary Branch Atresia was added, which 1 in every 200,000 to 1 in every 300,000 are born with just this one heart disease has been added to the diagnosis, this has increased how rare the condition is from the 0.2% to 0.4% to now a 1000 times rarer than original diagnosis, also has been confirmed Illyana only has 1 kidney.

05/30/2024 Update

May 30, 20241

Today Amanda got to hold Illyana for the first time since she has been born, we also got updated with more news, they are trying to lower her oxygen pressure and wean her off the oxygen, if she can be weaned off the oxygen doctors might be able to do a minor surgery and put in a stint to keep airways open and allow her to come home and do major surgery later, if they cant get her weaned off oxygen they may have to do the major open heart surgery sooner than later.

05/29/2024 Update

May 29, 20241

Air Pressure lowered to 4 LET'S GO!

05/28/24 Update

May 28, 20245

Illyana has Arrived she is now getting to have her echo on her heart waiting on test to be done and a plan made. Here I am ready for Kingdom Works Here I am ready for Kingdom Works Meeting Mommy and Daddy for the first time. Straight to the NICU from the OR. Chilling in the NICU The Doctor told Amanda that she is taking it like a champ with all the pressure, we are getting to speak life in to everyone we come in contact with, this is truly God's strength Amanda is able to do this, we have got to talk about The Meaning and how God chose Illyana's name and confirmed it to us.

05/28/2024 Update

May 28, 20241

God is so good, The doctors are weaning Illyana off forced air flow and she is doing great, if they can get her off the air pressure she will have reached a huge milestone and one step closer to being able to come home. Air Pressure started at a 5

05/19 Update

May 19, 20247

Went for ultrasound today fluid is at 45 cm as of now, in a normal pregnancy it should be anywhere from 15-25 cm, at times Amanda is having a hard time breathing due to the pressure from the amount of fluid, Amanda has received the second round of steroids to help strengthen Illyana's lungs, the steroids have caused her blood sugar to raise and is having to receive insulin now. Got to take the kiddos to church and were super excited to come see mommy, they got to have fun walking around the hospital and spending time with us, it is hard not being with them everyday but it is only a season and we are thankful and will cherish these moments for a life time.

05/18/2024 Update

May 18, 20241

Noon - We spoke with the Neonatologist we were told that Amanda will be staying in the Hospital until after Illyana is born, they want to keep Illyana in the womb as long as they can for her lungs to be as close to fully developed as possible, they aren't sure if Illyana is able to swallowing correctly due to them only seeing one kidney, they said it could just be extra fluid and have nothing to do with Illyana as well, they are unsure at this moment what is causing the extra fluid but are putting in extra measures for when she arrives, we will let everyone know more when we know more, please continue pray for us we are taking it one day at a time. 1:30AM - We finally got into our room we are staying in they are keeping observation of Amanda, the team will be making a plan for the arrival of Illyana, we might be having Illyana in the next 24 hours, Amanda is currently 35 weeks pregnant there is pressure and some discomfort from time to time, we will update everyone in the morning, please continue to pray for us during this time.

05/17/2024 Update

May 17, 2024

We went for an ultrasound right now fluids in Amanda’s stomach are 44cm, we are now being sent to the hospital for an evaluation, we are a little nervous right now but my God is in control and is working a miracle right now.